Review and Look Ahead
Section titled “Review and Look Ahead”We are heading down the home stretch in our long series of newsletters about brain health and aging. In previous newsletters, we've looked at the structure of the brain both as you can see it with the eye, and as it would appear microscopically. We noted that its tiny nerve tendrils create a massive appetite for energy production. Energy production can produce harmful byproducts; these free radicals can, over time, destroy brain tissue. Certain nutrients can minimize this destruction.
The health of blood vessels is important for brain function. We noted how microinflammation impairs thinking by interfering with circulation of the blood, and can cause direct damage to brain tissue as well.
In order to operate, the brain requires certain substances including folic acid and other B vitamins. The membranes of the brain depend on a relative of lecithin called phosphatidylserine; supplemental phosphatidylserine improves thinking.
What is Dementia?
Section titled “What is Dementia?”In a previous newsletter, I likened dementia to termites; both can destroy a structure before symptoms are apparent. I have focused on the effects of wear and tear on the brain and how to prevent or mitigate them through nutrition and exercise. In this issue, I'll be talking about causes that go beyond normal aging. Frequently people tell me that they don't remember names as well as they used to and they worry they might be developing Alzheimer's. Most often they aren't. Sadly, the folks who become truly demented rarely complain to me that they have a problem. The spouse or the children tell me.
Still, many fear Alzheimer's disease, which can progress from simple forgetfulness to profound loss – inability to recognize loved ones and to perform simple self-care. At worst, Alzheimer's can lead to emotional extremes of aggressiveness, anxiety and despair. Among the stages in mental decline, Alzheimer's and other forms of dementia are the end of the road. The American Academy of Family Physicians describes the symptoms of dementia as loss of memory for recent events, difficulty performing familiar tasks, problems with language and abstract thinking, disorientation, poor judgment, misplacing things, loss of initiative, and changes in mood and personality.
None of us want to end up in this condition, but rather than quake in fear, let us take a clear-headed look at Alzheimer's and other forms of dementia. Alzheimer's is only one of many causes of dementia. Some of them are reversible; some are not.
Irreversible forms of Dementia
Section titled “Irreversible forms of Dementia”There are three major causes of irreversible dementia. Doctors cannot cure these diseases, so your best hope is to prevent them from starting. Vascular dementia, mental decline due to circulatory problems and strokes, is the second largest cause of dementia. In previous newsletters, we've reminded you that the health of our blood vessels is important for brain function and gone into detail about how it happens. Parkinson's disease can also lead to dementia. While most people with Parkinson's don't develop dementia, some do. There is little doubt that free radical damage plays a major role in this. Neither vascular disease nor Parkinson's claim anywhere near the name number of victims as Alzheimer's, which accounts for 60 to 75 percent of dementia.
Alzheimer's is characterized by neurofibrillary tangles, and you will see a picture below. The original description of Alzheimer's Dementia, by Dr Alois Alzheimer in 1906, was based on a case of dementia in a 51 year old woman. For many years the term Alzheimer's dementia was applied to dementia occurring before the age of 65. Another term for it was pre-senile dementia (because what was so unusual about senile dementia?) Early onset Alzheimer's is most often familial, so those at risk usually have some advance warning. As years went on and older people showed up with those same neurofibrillary tangles, doctors came to recognize that Alzheimer's disease can occur at any age, but is, in fact, most prevalent among the elderly.
Alzheimer's Disease Close Up
Section titled “Alzheimer's Disease Close Up”Alzheimer's dementia is just one of several forms of dementia. However, because it is a major cause and subject of popular concern and research efforts, it bears a closer look. Having already been through the brain with your Reebok's and tour book, this will be easy.
First, a reminder of what Alzheimer's dementia does to the brain as a whole. Here is a relatively normal brain.

Figure 1 Normal Brain
With advanced Alzheimer's, the brain shrinks, like this.

Figure 2 Brain with Alzheimer's
All this is very evident on an MRI, but the brain can shrink for several reasons. The defining elements of Alzheimer's disease are tangles, amyloid plaque and low levels of a neurotransmitter.
Amyloid plaque
Section titled “Amyloid plaque”In our discussion of folic acid and other B vitamins, we noted that homocysteine, a toxic substance, rises when those vitamins are deficient. Homocysteine promotes the formation of beta-amyloid (also called amyloid-beta) a protein associated with Alzheimer's dementia. Here's a microphotograph of a rat's brain, with beta-amyloid deposits on the left, and normal brain on the right.

Figure 3 Amyloid plaque
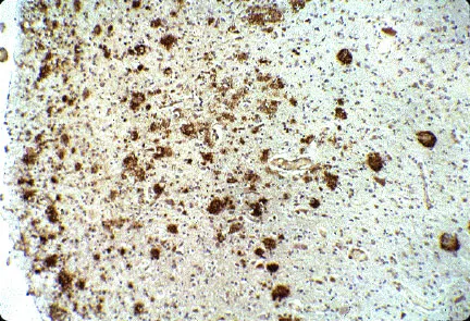
If you've had a loved-one with dementia, you know that there is no blood test or scan that your doctor can do to tell for sure whether or not they have the disease. The diagnosis of Alzheimer's dementia can only be determined by looking at brain tissue under the microscope. That usually happens only at autopsy. This is what it looks like. Here the beta-amyloid deposits are stained brown against the normal blue background.

Figure 4 Beta-Amyloid Deposits
Let's make these beta- amyloid deposits a bit less mysterious.
Recall that cell membranes have proteins among the lecithin and phosphatidylserine molecules, as pictured here. The proteins are in red; the lecithin, phosphatidylserine, and other membrane constituents in blue.

Figure 5 Brain Cell Membrane
Among these proteins is one called amyloid precursor protein (APP). We don't really know what the normal function of APP is, but we do know that it comes in several forms and can be cut apart to form beta-amyloid as illustrated below. Here is a picture of the amyloid precursor protein in the top image, fulfilling whatever its normal function is.

Figure 6 Amyloid precursor protein doing its thing

Figure 7 Amyloid precursor protein cut apart by enzymes
Some of this occurs normally, but when the process accelerates, damage occurs. We know of some genetic reasons for this, but do not understand the entire process.

Figure 8 Beta-Amyloid plaque
Finally, the cut pieces of APP aggregate as amyloid plaque and injure nerve cells.
Acetylcholine
One other abnormality of Alzheimer's dementia concerns neurotransmitters. One neurotransmitter, in fact the first one to be discovered, is acetylcholine. Because acetylcholine levels fall in people with Alzheimer's, drugs that increase acetylcholine levels, such as Aricept (donezepil) were developed. Unfortunately, these provide only temporary slowing of the progression of the disease. Your nerve cells make acetylcholine from choline, which you've met before as part of the cell membrane constituent phosphatidylcholine, or lecithin. Just to anchor this in your memory, this illustration shows one nerve cell signaling another via the synapse in the inset at lower right. The neurotransmitter molecules can be acetylcholine, serotonin, or any of a number of such neurotransmitters.

Figure 9 Neurotransmitter at nerve synapse
Causes of Dementia Other Than Neurodegeneration
Section titled “Causes of Dementia Other Than Neurodegeneration”Now we get to some better news. There are many reasons for cognitive loss aside from neurodegenerative diseases such as Alzheimer's and the inevitable wear and tear of aging. As you read through this list, you'll see that many of these can be treated or prevented. These are the things your doctor will want to rule out before settling on a diagnosis of Alzheimer's or other forms of irreversible dementia.
Things we put in our mouths
Section titled “Things we put in our mouths”Pharmaceutical Agents
Section titled “Pharmaceutical Agents”Drugs can play a role in about 10 percent of people newly noted to have dementia. Thinking clears once the medication is discontinued. These drugs include
- Blood pressure medications including clonidine and β-blockers. However, most blood pressure medications are free of this risk.
- Sedatives such as tranquilizers or sleeping medications
- Anticholinergic drugs, which can include drugs for depression, asthma, allergy, urinary problems, and anesthesia
- Narcotics
- Corticosteroids
- NSAIDs, (the non-steroidal anti-inflammatory drugs) including aspirin, ibuprofen, Aleve, etc
- Phenytoin for seizures
- Digoxin for heart disease
- Cimetidine for stomach acid.
DO NOT STOP any of these drugs you might be taking without clearing it with your doctor! Most people who use these drugs do not suffer from confusion. However, some people, especially among the elderly, do. In addition, people can have idiosyncratic (individual) reactions to foods or drugs, including cognitive losses.
Alcohol
Section titled “Alcohol”This is the elephant in the living room, our nation's favorite drug, no prescription required. Alcohol must cause more cognitive loss than all the pharmaceuticals combined. We'll show you in the next month or so how alcohol reduces the ability of the brain to repair and renew. For now, consider alcohol overuse reversible, don't give up hope, but know in your heart of hearts that a point can come when the termites will have won.
Diseases that may be treatable
Section titled “Diseases that may be treatable”Here are some medical conditions that can lead to dementia. We can treat these with varying degrees of success. The sooner we start the better.
Things that take up space in the skull
Section titled “Things that take up space in the skull”Tumors or hidden bleeding from trauma can squeeze the computer. Normal pressure hydrocephalus, or fluid retention in the brain, causes a wide-based gait, urinary incontinence, and cognitive losses. If we don't recognize this condition in time, the patient can progress to full dementia with little hope for recovery.
Conditions the interfere with biochemical processes
Section titled “Conditions the interfere with biochemical processes”- Hypoglycemia – no fuel in the noggin, no thinking gets done.
- Liver failure – if the liver fails to detoxify bacterial toxins from the intestine, they are passed on to the brain. Some of these substances have sedative effects and in the worst case cause unconsciousness.
- Vitamin deficiencies – because brain tissue has a faster metabolic rate than most other tissues of the body, lack of vital nutrients has a greater impact. Key vitamins include vitamins B12, B1, B3, and folic acid.
- Thyroid disease – thyroid hormone influences the rate at which cellular factories all over the body turn out proteins. This includes the brain. Decrease this hormonal signal that make critical proteins in the brain, and we don't think so well. Repress the signal long enough and we can become demented. An overactive thyroid as well can, unusually, lead to dementia.
- Kidney failure – failure interferes with removal of toxins from the blood stream and with critical electrolyte and acid-base balance. (In fact, one of the few pluses to kidney failure is that the brain is affected in such a way as to be tranquilized)
- Oxygen lack – this can come either from anemia (can't carry the oxygen to the brain) or from conditions of the heart or lung that interfere with oxygenation of the blood.
- Hypercalcemia – some medical conditions result in excessive calcium in the bloodstream, which many bodily systems tolerate poorly.
- Seizures – either one severe seizure or many lesser attacks can eventuate in dementia
- Infections – infections including HIV, syphilis and others destroy brain tissue. Generalized severe infections can interfere with brain function in a variety of ways.
Conditions that interfere with circulation
Section titled “Conditions that interfere with circulation”- Heart disease can lead to dementia through failure to get enough blood and oxygen to the brain or by seeding the brain with large or small blood clots. With prevention and early treatment, vessels and brain stay clear. Without treatment, heart disease can lead to irreversible vascular dementia.
- Autoimmune diseases can impair circulation by damaging blood vessels.
Things that set off microinflammatory processes
Section titled “Things that set off microinflammatory processes”Microinflammatory processes can be set off by trauma to the head, high blood pressure, high blood sugar, low HDL cholesterol, and excess weight.
Factors that interfere with "use it or lose it"
Section titled “Factors that interfere with "use it or lose it"”- Sensory losses such as blindness or hearing loss accelerate cognitive loss by impairing sensory input. Disuse of neural circuits can eventually result in permanent shutdown.
Depression is associated with temporary changes in the brain. Depressed people don't just feel bad, inside their brains they actually produce fewer new neurons and make less productive use of the neurons they have. Under-use of neural circuits can eventually result in permanent shutdown.
Conclusion: The Choices Ahead
Section titled “Conclusion: The Choices Ahead”In this outline we've discussed the physiology of Alzheimer's dementia and listed many other causes for loss of brain function. Throughout this series, I have suggested nutrients you can take to prevent specific causes of mental decline. However, if you are having symptoms such as forgetfulness and confusion, above are the reasons you'd want to see your doctor for a medical checkup.
The brain is a marvelous organ and remarkably robust but, as you have seen, not immune to damage. The loss of function and dementia of old age do not usually strike like a bolt of lightening. Most often they arrive gradually over the years, announcing their arrival in many small ways. Your best defense is first to understand the way your brain works, what it needs, and what can go wrong. Then you have some decisions to make.
In the final newsletters in this series, we will describe dementia and brain regeneration, review an exhaustive list of nutrients and supplements that might prevent dementia and, finally, recommend a program to help you maintain your mental acuity.