Introduction and Review
Section titled “Introduction and Review”This is the eighth in our series on maintaining healthy brain function as we age. This month's newsletter discusses phosphatidylserine, a nutrient and brain constituent that numerous studies have shown to be helpful for age-related mental decline.
If you know someone who has developed dementia, you've surely noticed how suddenly changes in cognitive ability can occur. Perhaps the person gradually became more opinionated than they had been, or a bit more stubborn, or a bit more fearful, or more reluctant to socialize, but you counted that their own nature and a privilege of old age. They still seemed to be quite in touch with things despite all that. Then one day they seemed to have no idea where they were or what you had talked about with them yesterday.
This is the tragedy of the aging brain – once the symptoms are clear, so much has already been lost. Once symptoms appear, three-quarters of the neurons of the brain are just gone. As with a termite-infested house, it's too late. Medicine won't bring your loved-one back.
Better to prevent those termites. This is why I am going into such detail in this series. And since many medical authorities claim that nutritional measures don't help, I am providing you with exhaustive detail, so you can know why and how they do help.
Review of Previous Newsletters
- The brain is different from all other tissues of the body in the complexity of its structure and its intricate web of tiny nerve tendrils.
- These create a massive appetite for energy production.
- When that energy production is impaired, brain tissue is destroyed. Certain nutrients can provide a protective cushion.
- Impairment of blood flow can interfere with brain function.
- One mechanism of brain damage is microinflammation. First, this impairs thinking by interfering with circulation of the blood. Second, microinflammation directly damages nerve tissue.
- Brain structure and function depends critically upon adequate supplies of folic acid and other B vitamins. Deficiency of these vitamins can occur with few symptoms. In any case, brain degeneration is accelerated, sometimes irreversibly.
Synapses - The Place where Intelligence Lives
Section titled “Synapses - The Place where Intelligence Lives”If you could make yourself infinitely small, small enough to see the chemical activity in the brain, you would marvel at 150 trillion connections, called synapses, on the membranes of the cells. You would see electro-chemical signals constantly zapping across these synapses from one receptor to another.
Here's an illustration of a brain cell with two kinds of synapses.

These synapses dot the oily membrane of the nerve cell like buttons.
The cell membrane separates the cell contents from the outside world, while allowing the intake of nutrients and the egress of waste products. Here, however, we want to focus on the synapse and the passage of synaptic signals that comprise the better part of the "intelligence" of the cell. (We will not cover other kinds of cell signals.)
Signals may transmit both in-coming and out-going information. For example, as you sit at your computer reading this newsletter, certain cells in the brainstem output signals that bring you into a wakeful state, while other cells tell your eye muscles to move your eyes back and forth to scan the words. In-coming light signals the retinal cells to send images of the newsletter to your brain.
On a deeper level, signals are constantly in motion to monitor and preserve the health of the brain. For example, a neuron signals to assure the neighboring neuroglia that it is in good working order and should be supported, not destroyed [1]. Brain cells, or neurons, perform all these functions as well as the complex functions comprising higher thought – reading these words and evaluating these concepts, for example.
Nerve Signals Depend Upon Healthy Cell Membranes
Section titled “Nerve Signals Depend Upon Healthy Cell Membranes”Major components of cell membranes include some chemicals you've heard of such as lecithin and cholesterol. Let's call lecithin by its technical name, phosphatidylcholine, to properly identify it as a member of the phospholipid family. Phospholipids, which are fatty substances, keep the membrane oily and flexible.
This cross-section of a tiny area of cell membrane shows the bluish phospholipids that comprise the membrane. The reddish proteins and yellow projections perform signaling functions. The bottom of the membrane here is the cell interior.

The structure of the cell membrane can promote or discourage the proper function of synapses. Too many trans fats will make the oily membrane too stiff, so the synapses embedded in it do not perform as well. A critically important phospholipid, phosphatidylserine, has a positive effect, ensuring proper function of membrane pumps, proper secretion and reception of serotonin and other neurotransmitters, and much else. For ease of communication, we'll abbreviate phosphatidylserine as PS.
The diagram below gives an even closer look. You can see that PS is a minority component of the cell membrane and that it clusters around the proteins responsible for intelligent function of the membrane. The top of the membrane here is the cell interior, with lecithin molecules indicated by the white circles with two tails, and the proteins as gray islands in the membrane. [2]

This image illustrates only the phospholipids in the membrane, without the proteins.

As you look at this membrane above, many of the yellow "dots with tails" are phosphatidylcholine, also called lecithin. The blue objects are cholesterol molecules, an important membrane component. Other molecules are involved as well.
PS and Brain Function
Section titled “PS and Brain Function”PS, as we noted, tends to locate itself around the proteins in the cell membrane, proteins that turn a simple barrier into a complex and intelligent surface. Reduce the amount of PS, as with aging, and those proteins don't perform as well. This is another element in the loss of mental processing power we experience with time.
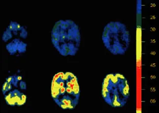
PET scans reveal brain chemistry in living individuals. This scan shows brain metabolism by blue (least glucose uptake) through yellow and red (maximum glucose uptake, indicating greater metabolic activity).

The top row of images shows the brain of a 59 year old woman at three different levels of her head. After the first scans were taken, she took 500 milligrams of PS a day for three weeks; the repeat scan at the bottom shows markedly improved brain activity. While the benefit waned at the end of this particular patient's six-month trial period, this image does graphically show what PS can do.[3]
Three Stages of Age-Related Decline
Section titled “Three Stages of Age-Related Decline”Alzheimer's, we know, is the end of the road, a major malfunction that no one can miss. More common is "age-related cognitive decline," in which the individual gets along adequately, but just doesn't have the logical processing power they had when they were teaching calculus in college. Another common condition is "age-associated memory impairment" – no explanation needed – which is universal, the only question being one of degree.
Researchers have studied PS supplementation in each of those three groups.
Age-Associated Memory Impairment
We'll start with the most common malady. I believe, and many studies confirm, that we enjoy most success when we start treatment before the termites have had a chance to destroy much of the house. I can find reports of sixteen double-blind studies on PS, each of which measured memory by several tests. These include:
- Learning and matching names and faces.
- Recalling first name when the last name is given.
- Recalling telephone numbers with and without distraction.
- Recalling grocery lists.
- Finding misplaced household objects.
People taking PS and those taking a placebo were given these and other memory tests over a period several months. After three weeks, sometimes longer, people taking PS scored significantly better on memory tests than did the placebo group. In fact, every one of those sixteen studies found that PS improved memory when compared with placebo. Some studies found that the memory improvement continued for a period of time after PS was discontinued, which is what we would expect from a substance that changes the function of the lipid membranes surrounding nerve tissue.
Age-Related Cognitive Decline
The largest and longest study[4] of PS, at 23 medical institutions in northern Italy, involved 494 elderly people with moderate to severe age-related cognitive decline. Over a six month period they took 100 milligrams PS or a placebo three times a day. The PS group scored better in memory and learning compared to the placebo group. They showed more motivation and initiative and were less withdrawn.
**Alzheimer's Dementia
**Just as it is more difficult to improve people with moderate to severe age-related cognitive decline, it is most difficult when the nervous system has been severely reduced in size and complexity by Alzheimer's dementia. Of the studies of PS in people with Alzheimer's dementia, one showed greater benefit in those more severely affected. This appears to have been a fluke, since every other study has shown more benefit in those less severely affected. In any event, several studies have shown improved ability to deal with activities of daily life, memory, information processing, and family relationships. This doesn't mean people went back to work for Intel; it means they were better at getting dressed, feeding themselves, and knowing what day it was.
PS for Depression and Chronic Stress
Section titled “PS for Depression and Chronic Stress”Depression
An Italian group studied elderly depressed patients who did not have dementia[5]. They were looking to see if PS influenced various physiologic parameters, which it did not, but it did improve depressive symptoms. Now, depression and cognitive loss are intimately connected, and each can lead to the other. Naturally, when we lose our mental capacity from a degenerative process such as dementia, that cuts into our supply of cheer. Conversely, treating depression in an impaired older person can frequently restore mental function.
Chronic stress
In previous newsletters we have noted that chronic stress damages neurons. In healthy exercising individuals given PS at 800 milligrams per day, cortisol, a major stress hormone that increases with exercise, was lower than in those given placebo. This indicates a more favorable adaptation to exercise, with less wear-and-tear on the system as a result. (We aren't dissing exercise here. The benefits of exercise almost always outweigh the costs.) Higher levels of cortisol appear in depressed individuals as well.
These studies on chronic stress and depression further confirm that PS improves brain function at a very fundamental level.
Taking Supplemental PS for Brain Health
Section titled “Taking Supplemental PS for Brain Health”Forms of PS
Early studies used PS made from the brains of cows. Naturally, enthusiasm for this waned when mad cow disease appeared, and all PS is now processed from soybeans. While the largest PS study used bovine PS, every study I was able to locate has shown that soy PS is equally and sometimes more effective, including a 2000 Israeli study of age-associated memory impairment[6].
Should You Take PS?
Three arguments have been levied against taking PS supplements.
First, critics claim that PS is not absorbed.
I say it is. We know PS is absorbed, because so many studies show that it improves mood and mental clarity. That couldn't happen if it wasn't getting to the brain. We also know what happens on a molecular level. Take a look as this diagram of PS.

The bottom part, the two fatty acids attached to glycerol, is a modification of the "triglycerides" you see on the lipid panel of your lab report. Triglycerides are the packaging forms that fatty acids take as they travel through our bloodstream. PS has two fatty acid tails, one of which is usually removed when PS is absorbed in the intestine. This fatty acid tail is then replaced in the brain, often with docosahexaenoic acid, or DHA, an omega-3 fatty acid found in fish oil. PS can have several kinds of fatty acids comprising its two tails, and these are frequently modified to the most favorable form when your system incorporates PS into a membrane.
The second argument is that you can take serine and a phosphate molecule separately and obtain the same results. The name "phosphorylated serine" can refer to a large class of molecules. The use of "phosphorylated serine" is advocated by people selling the product, and they seem to have an inaccurate understanding of PS metabolism. They cite studies they have done themselves but never published. Although PS is modified during absorption, the backbone of the molecule is preserved, which is the critical element.
The third argument is that we make PS ourselves. This is true. It is also true, as shown above, that by obtaining extra PS as a supplement our neural membranes work better and our noggin increases in horsepower. Evidence that PS improves every stage of mental decline indicates that the average person would enjoy a longer period of optimal mental function by taking supplemental PS.
Brain Cell Membranes
This is our second newsletter in this series dedicated to the membranes of the cells in our brain. The first time we visited the topic, we noted that these membranes suffered oxidative damage over time, decreased in number in all of us, and more so if we were destined for AD. We pointed out that acetyl-l-carnitine, lipoic acid, and coenzyme Q10 helped protect these delicate membranes from such degeneration.
In this second visit to those membranes, we've shown how PS helps our membranes function more powerfully, whether we have our full supply of neurons or a time-worn remnant.
Dose
I recommend 100 milligrams of PS twice a day for healthy individuals over the age of 50, more if the person shows signs of mental decline. PS and the other nutrients I mention are more effective when started before the termites do their worst.
Click here to read a short summary of PS.
I would like to acknowledge Parris Kidd, PhD, who first brought phosphatidylserine to my attention, and provided copies of some of the studies referenced in this series.
Not-for-profit Nutritional Dispensary
Section titled “Not-for-profit Nutritional Dispensary”Starting in 2006, the Monroe Street Medical Clinic decided to donate all profits from its nutritional dispensary to United Good Neighbors. We also promised to give a public accounting. Here is the result of that accounting for the first six months of 2006.
| Income from sales | 31,798.91 |
| Wholesale cost of goods | 20,653.06 |
| Labor costs | 6,374.16 |
| Portion of office rent, utilities, accounting, VISA charges, taxes, licenses, and operating expenses attributable to dispensary. | 4,703.57 |
| Total expense | 31,730.79 |
| Net profit | 68.12 |
While I wish we had generated more to give to United Good Neighbors, we can report that our pricing is about right for our small-volume, labor-intense operation.
We do not include my time in the above accounting. For example, over a period of four months I put several hours into researching the most cost-effective brand of l-tryptophan to add to our inventory. This involved phone calls to two manufacturers, waiting for samples and product chemical analysis, then finally watching unusually volatile prices settle down. Once again I found that Thorne Research offered the greatest reliability at a price very similar to the competition.
We subscribe to the service of ConsumerLab.com, which independently tests and reports on supplement quality. A significant number of manufacturers still short-weight their products. No manufacturers other than Thorne Research meet international standards set by the Australian government, the most stringent standards in the world. While I wish that we could sell all this at lower cost, we cannot. We do, however, support you to seeking the lowest prices for over-the-counter and prescription pharmaceuticals. Last month, for example, I discovered that Costco sells brand name Aleve at less cost than our wholesaler sells us the equivalent generic, naproxen sodium. And so to my final reminder: Costco pharmacy is still the current pricing champion for pharmaceuticals.
Endnotes:
1 Not all of these signals use synaptic transmission, but that is beyond the scope of this newsletter.
2 This is a simplification, as there are other phospholipids, cholesterol, and other substances in the membrane. You can read more at http://www.steve.gb.com/science/membranes.html.
These other substances are not, however, relevant to the thesis of this newsletter.
3 This image is from http://www.springboard4health.com/books_online/ps/phosphatidylserine.html. One of the studies referenced is…
Long-term effects of phosphatidylserine, pyritinol, and cognitive training in Alzheimer's disease. A neuropsychological, EEG, and PET investigation. Heiss WD et al. Dementia. 1994 Mar-Apr;5(2):88-98. Abstract: 70 patients with probable Alzheimer's disease were randomly allocated to four groups: 17 patients received only social support, 18 cognitive training twice a week, in 17 cognitive training was combined with pyritinol 2 x 600 mg/day and in 18 cognitive training was combined with phosphatidylserine 2 x 200 mg/day. Treatment duration was 6 months. Before and after treatment, the patients underwent neuropsychological testing as well as measurement of the regional cerebral metabolic rate for glucose using positron emission tomography and 18F-2-fluoro-2-deoxy-D-glucose. Before treatment the groups were comparable in respect to resting and activated glucose pattern achieved by a visual recognition task. Electrophysiological changes were assessed as EEG power, globally and in 4 frequency bands. This 6-month study in four groups of patients with Alzheimer's disease indicated that phosphatidylserine treatment has an effect on different measures of brain function. Since neuropsychological improvements were best documented after 8 and 16 weeks and faded towards the end of the treatment period, it must be concluded that this symptomatic therapy is mainly of short-term benefit and was overcome by the progressive pathological changes at the end of the treatment period.
4 Cognitive decline in the elderly: a double-blind, placebo-controlled multicenter study on efficacy of phosphatidylserine administration. Cenacchi T, et al. Fidia Research Laboratories, Abano Terme Italy. Aging (Milano) 1993 Apr;5(2):123-33
Abstract: This double-blind study assesses the therapeutic efficacy and the safety of oral treatment with phosphatidylserine (BC-PS) vs placebo (300 mg/day for 6 months) in a group of geriatric patients with cognitive impairment. A total of 494 elderly patients (age between 65 and 93 years), with moderate to severe cognitive decline, according to the Mini Mental State Examination and Global Deterioration Scale, were recruited in 23 Geriatric or General Medicine Units in Northeastern Italy. Sixty-nine patients dropped out within the 6-month trial period. Patients were examined just before starting therapy, and 3 and 6 months thereafter. The efficacy of treatment compared to placebo was measured on the basis of changes occurring in behavior and cognitive performance using the Plutchik Geriatric Rating Scale and the Buschke Selective Reminding Test. Statistically significant improvements in the phosphatidylserine-treated group compared to placebo were observed both in terms of behavioral and cognitive parameters. In addition, clinical evaluation and laboratory tests demonstrated that BC-PS was well tolerated. These results are clinically important since the patients were representative of the geriatric population commonly met in clinical practice.
5 Blood levels of cytokines in elderly patients with major depressive disorder. Brambilla F, et al.Acta Psychiatr Scand 1998 Apr;97(4):309-13 Abstract: Plasma concentrations of interleukin-1beta (IL-1beta), interleukin-6 (IL-6) and tumour necrosis factor alpha (TNFalpha) were measured in 10 elderly women with major depressive disorder (MDD) and in two groups of controls, one consisting of 10 age-matched healthy female volunteers and one consisting of 10 young healthy female volunteers. The cytokine concentrations were measured in MDD patients before and after 30 days of treatment with phosphatidylserine (BC-PS), 600 mg daily p.o. The plasma IL-Ibeta, IL-6 and TNFalpha concentrations did not differ significantly in young controls, elderly controls and MDD patients. BC-PS therapy, while significantly improving the depressive symptoms, did not alter the cytokine concentrations.
6 An open trial of plant-source derived phosphatydilserine for treatment of age-related cognitive decline. Department of Psychiatry C, Chaim Sheba Medical Center, and Tel Aviv University Sackler School of Medicine, Tel Aviv, Israel. shaulsch@post.tau.ac.il Isr J Psychiatry Relat Sci. 2000;37(4):302-7. Abstract: We assessed whether the efficacy of plant-source derived phosphatidylserine (one of the phospholipids which play an important functional role in membrane-related processes in the brain) for treatment of age related cognitive decline is consistent with previous (placebo controlled) positive findings with bovine derivative of PS (BC-PS). Eighteen healthy elderly volunteers meeting Age Associated Memory Impairment inclusion and exclusion criteria were treated for 12 weeks with plant-source derived phosphatydilserine (PS) (100 mg x 3/day p.o.) and evaluated at base line, after 6 weeks of treatment and at the end of the trial. Fifteen concluded the study. All but two outcome measures elicited a significant drug over time effect. Post-hoc paired t-tests showed that the significant effect was attributable to an improvement from base line to week 6 and that effect was maintained at week 12. These results are encouraging. However, they await double-blind controlled verification in a large sample before suggesting that this may be a viable approach to the treatment of age-related cognitive decline, without exposing the patients to possible hazards involved in the treatment with bovine derivative of PS (BC-PS).