How the Brain Works
Section titled “How the Brain Works”This month we begin a series of newsletters about preserving mental function as we age. We hope this newsletter series will help you sort out the hype from the facts.
Your brain contains about 100 billion neurons and 10 to 50 times that many supporting cells. Called glia, these cells provide not only physical support but also biochemical and functional support for the major cells, the neurons.
The most complex part of the brain is the neocortex, where we think. The neocortex contains about 20 billion neurons. Each neuron has thousands of synapses (connections) between it and its fellow neurons, for a total of 150 trillion synapses. Compare this to 125 million transistors in a late-model Pentium chip, each of which can be only "on" or "off." Your noggin has over 100,000 times that many connections, and they operate in a much more complex pattern than any computer. Your brain is a complicated marvel, and scientists still have plenty to learn about it.
This month's newsletter gives a brief overview of what we understand today about how the brain works. This short course in biology provides the foundation for understanding how to keep your brain in good shape as you age.
The Parts of The Brain
Section titled “The Parts of The Brain”When I was a student in medical school, dissection was one of my favorite classes. I held a human skull in my hands. I felt how hard it was, all the better to protect the brain. Inside that skull, the entire brain had the consistency of firm gelatin. I noticed the greasy feel of the tissue, indicating that the brain was rich in fatty substances. Unlike our hips and our bellies, our brains don't store fat. Instead the brain is composed of fat-soluble substances, such as cholesterol, omega-3 fats, and other substances required for optimum function. It is protected by fat-soluble antioxidants like lipoic acid and vitamin E. Unfortunately, as a fatty substance, it tends to retain pesticides and it oxidizes in a particular way that makes it vulnerable to damage. This will become important later in this series when we talk about practical measure for protecting the brain.
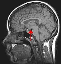
As I explain how the brain works, I invite you to look at illustrations to get a visual understanding of what I'm talking about. Here is an X-ray image cross-section of the brain.

In this image the skull is white. The darker area just below the skull is occupied by cerebrospinal fluid, the brain's shock absorber. The sketchy white line inside that marks the dura mater, a tough fibrous covering over the brain. Going deeper, more fluid cushions the brain, and then you see the convoluted layer, the cortex (Latin for "bark" or "rind"), where we do our thinking. The mushroom-like whitish cap at the brain's center is the corpus callosum, containing the great nerve tracts that connect the left and right sides of the cortex. The red arrow in this photo points at the pituitary gland and hypothalamus, that evolutionarily older part of the brain that governs blood pressure, temperature, wakefulness, and most of our other housekeeping functions. The "mushroom stalk" in the center of the skull and to the right of the arrow is the midbrain, which functions something like a main telephone switching office and connects to the spinal cord. The smaller convoluted part to the right of the midbrain is the cerebellum, which coordinates our muscles as we walk, swim, and dance ballet. The area between the "mushroom cap" and the "mushroom stalk" includes the limbic system where we experience emotion.
Deeper into the Brain
Section titled “Deeper into the Brain”In medical school, after dissection, we moved on to microscopic study of the body. On a microscopic level, we could see how complex and delicate the brain cells are. In the image below, you can see two nerve cells (also called neurons), with connections that become very fine, almost like steel wool, in the left of the image. Brain cells have a compact cell body, sometimes called the soma.

From the soma, many tiny extensions reach out and connect with other nerve cells. These very thin cell fibers are more susceptible to damage than cells with other shapes. A nerve cell's bristly shape is distinctly different from the round shape of a skin cells or the rod shape of a muscle cell. For comparison, click here to see images of skin and muscle cells. In next month's newsletter, we'll talk more about the vulnerability of nerve cells and how we can protect them, but first, let's see how nerve cells operate.
Nerve fibers are specialized to bring in or send out signals. The "input" end of the neuron has many "dendrites" (from the Latin word "tree") that bring signals in to the main cell body (soma). The "output", called the axon, may be quite long (if it has to reach all the way to the foot, for example). The axon separates into many terminals, which stimulate other cells. Each neuron might have several thousand input dendrites and a similar number of terminal outputs.
Here is a very simplified diagram.

The image below will give you a better idea of the complexity of just the input end of a nerve cell. This image shows the input end of a cell that helps control of our muscular system. The main cell body is below the picture, connecting to the white stump at the bottom of the image.

As the names imply, the input dendrites bring a signal into the nerve cell and stimulate the cell. The output terminals send the signal out.
Look at this moving image of a nerve cell in action. Pass your mouse over the names at lower left to identify the dendrites, cell body, axon, terminals, and synapses. In this image, the signal comes from cells to the left of the page, stimulates the cell in the center, passes down the axon to the two cells on the right and stimulates them.
Synapses and Moods
Section titled “Synapses and Moods”The junction across which one neuron signals another is called a synapse. A synapse is a very narrow gap where the terminal outputs of one nerve cell meet the input dendrites of another. When you magnify a synapse, you can see two sides of it, the pre-synaptic (or incoming side) and post-synaptic (the side where the receiving neuron is).
In the illustration below, each colored button is a synapse. The green synapses send a "fire" signal, the red synapses a "don't fire" signal. The signals can be sent by neurotransmitters such as serotonin, norepinephrine, acetylcholine, dopamine, or various other chemical substances. Such nerve cell signaling happens at the synaptic connection between cells.
These neurotransmitters and their helper chemicals influence our moods. Nerve cells have at least five kinds of receptors for serotonin, as well as various receptors for dopamine (makes us happy), cannabinoids (we manufacture an internal version of marijuana - as long as we don't smoke cannabis and mess up the mechanism), diazepam (Valium), and morphine-like substances. Yes, you guessed it, we have an internal pharmacy.

Click here for to learn more about how Prozac works, and about your synapses.
The Miracle is in the Membranes
Section titled “The Miracle is in the Membranes”The nerve cell is surrounded by a membrane. When I was in medical school, we knew a great deal less about these membranes than we do now. We knew that all cells have to have some kind of separator from the rest of the world and that in humans and animals that separator is this flexible oily membrane. (An oil is nothing but a fatty substance that is warmed up enough to become more fluid).We knew that the membranes had something to do with cells signaling to each other and with the immune response, but we didn't know the details.
Since that time, scientists have discovered miracles in those membranes. Here is a tiny piece of that membrane, magnified. If the entire cell this membrane surrounds were enlarged to the same scale as this image, it would be about 5 feet in diameter. This membrane covers every part of the nerve cell: the main cell body, all the tiny tendrils of the dendrites, the axon, and the terminals.

Does this remind you of a wild tango dance at an intergalactic bar?
The blue carpet is the oily part of the membrane, made of cholesterol, lecithin, and other critically important substances you'll learn about in months to come. In this image, the top is the outside of the cell, the bottom the inside. On the outside of the cell you see yellow branch-like molecules labeled glycolipid and oligosaccharide. With these waving branches the cell signals other cells that it is friend, not foe, or sends or receives other signals needed for cell function.
The cell maintains an electric field across this membrane. Nerves use changes in this electrical field to pass a signal down the fibers. The electrical field is maintained by the use of pumps in the membrane. In the illustration above, the pumps look like red globs. These globs pump electrically charged minerals across the membrane. Today we know how those pumps turn off and on.
Why should you care about red globs that pump minerals across cell membranes? Because they can have a profound effect on your health and happiness. To give just one example among hundreds, these tiny pumps maintain high levels of magnesium inside our cells. If you do not consume enough magnesium (and about a third of Americans do not) nerve cells become more likely to fire and we become more anxious, even sometimes to the point of panic. Muscle cells fire more easily and can become stuck in the contracted position. The result can be a migraine, an ordinary headache, a muscle cramp, or chronically contracted muscle cells in the circulatory system, leading to high blood pressure.
Membranes also pump calcium out of the cell. If too much calcium accumulates in the cell, the cell will die. One consequence of aging is a progressive inability to pump calcium out. You'll learn later how you can postpone this.
Membrane pumps also adjust levels of sodium, potassium, lithium, and many other minerals.
Summary
Section titled “Summary”So, let's step back a moment. We've gone from a brain you can hold in your hand down to what we can see only through a microscope. We now know that the humble cell membrane doesn't just divide inside from outside, but also mediates complex activities that result in thoughts, emotions, and action. We've learned that in the nerve cell this membrane is not compact like the wall of a pea, but stretched out into incredibly long and thin tendrils.
Our brain weighs about three pounds (about 2 percent of our body weight for a 150 pound human). It uses about 20 percent of our energy. This is the high-performance structure we want to conserve.
Next month we'll talk about how this brain is powered, and how that power system poses a much greater danger to complex nerve cells shaped like steel wool than it does to more compact and simple structures such as skin and muscle.
We'll go on to discuss the major causes of brain degeneration over time, and how they can, like most aging processes, be slowed but not eliminated.
Acknowledgements:
I am indebted for many of the images in this article to Mark Dubin, PhD, professor at the University of Colorado and author of "How the Brain Works."
DR 3/28/06