What Happens in the Aging Brain
Section titled “What Happens in the Aging Brain”This is the second in a series of articles about the brain. Part One explained the physiology of the brain. This month we discuss the changes that take place in the brain as we age. In future months we'll explore how to preserve brain function.
First, the good news. Our brainpower can be measured in many different ways, and age improves some of our abilities. Living improves our judgment – you don't see many 70-year-olds expiring after chug-a-lugging five quarts of beer. In addition, our store of memories provides a good guide for what works and what doesn't. That's why young fishermen try to make friends with old fishermen. As time goes by, we seem to be able to put our declining processing power to greater use. We call this "learning from experience."
Now, here's the bad news. Our brain's actual raw processing power declines as we age. One convenient measure of brain function is our ability to remember names once we have seen someone's face. Figure 1 below tracks the results of a memory function test.

Figure 1: Memory Loss From 18 to 70
(from Treatment and Care in Old Age Psychiatry page 103, edited by R Levy et al, 1993, Wrightson Biomedical Publishing Ltd)
In this test, people are shown photographs of about twenty different people and told their names. They are then asked to match names to faces and are corrected if they've erred. The top line shows the performance of people in their twenties. Shown faces and names they've never seen before, they remember 6 names on the first try, eleven on the second, and thirteen on the third try. Wait a while, and they still can match a name to about thirteen faces. The second line from the top shows how well a group of people in their thirties score. The bottom line shows the score of people over 70 years of age. Raw processing power is never higher than it is before the age of thirty.
Neurons Over Time or How the Brain Rusts
Section titled “Neurons Over Time or How the Brain Rusts”Why do young whippersnappers outscore aged sages on this test? It has to do with how our brain cells, our neurons, are built. In last month's newsletter we explained that most neurons are drawn out into long thread-line filaments – the dendrites that collect the incoming signal, the axons that carry the outgoing signal, and the many thin terminal endings where the signal is passed on to other neurons. We likened the thin, fibrous nerve tissue to steel wool. The microscopic image below shows what happens to this cerebral "steel wool" as we age.

Figure 2: Aging and Neurons Density in the Cortex
Neuroscience 33, No 3, pg 475
Figure 2 above shows four different pictures of the cerebral cortex, the part of the brain where we think. The upper left hand corner shows the brain of a 22-year-old, thick with neurons. In the upper right corner is a 43 year old. The Xerox this scan comes from darkened and thickened the image of the cells, but you should be able to see that there is more white space between the cells. No wonder, for we lose about 31 million neurons per year (out of our original 100 billion, factory installed). Now look at the lower left corner. This is what a small area of cortex looks like after another 48 years of neuron loss. The 91-year-old brain just ain't what it was at 22. And now, for the sad news in the lower right corner – this is what the brain of a person with Alzheimer's dementia looks like. They've lost just too many neurons. This person would have a great deal of trouble with memory and higher thinking functions. What you are seeing above is how those thread-like parts of the cell are vulnerable to damage, and disappear as time passes.
So, we have the densest array of nerve tissue in our twenties and the most processing power. What happens to make this tissue degenerate so?
Mitochondria – Power House of the Brain
Section titled “Mitochondria – Power House of the Brain”To understand the answer, we need to remember that our three-pound brain uses about a fifth of our body's total energy output. Last month we showed a picture of the cell membrane covered with pumps and receptors that support cell function. Those pumps and receptors require constant power to maintain electrical processes, which, unlike the great muscles of your body, never stop. To cover their tremendous surface area, neurons require many more pumps than an average cell. Remember, we're dealing with "steel wool." These pumps support the cell processes required for the electrical signals that allow you to feel, think, and move. Should these pumps fail, just for a few minutes, to pump accumulating calcium out of the cell, the cell will die.
That power comes from tiny furnaces inside the cell called mitochondria. Like me, you probably learned in high school biology that a cell contains a nucleus. Today you don't have to look far on the Web to see that a cell contains a great deal more than that.

Figure 3: Organelles inside a Cell
Figure 3 shows many of the organelles (tiny structures) inside a cell. The white object labeled "2" is the nucleus, and the two blue objects labeled "9" are mitochondria. (A cell can contain thousands of mitochondria.) Let's ignore everything else for now.
In the schematic view below, you can see that glucose and oxygen enter the mitochondria where they are transformed into the high-energy compound ATP which fuels the pumps in the cell membrane and indeed, every other energy-requiring process in the body.

Figure 4: Schematic Drawing of a Mitochondrion
Feel free to ignore the labels. Just remember that these mitochondria produce the energy we need to think, as well to maintain our body processes such as burning fuel to keep us warm and to move our muscles. Are these little furnaces efficient? Well, just imagine you could design a machine that would burn a Big Mac, some fries and a shake, then heat itself on a cold day and shovel your driveway. We haven't done that yet, but Mother Nature has. It took her a few hundred million years, but she did it.

Our marvelous mitochondria take in the fat and carbohydrates we've eaten and burn them in a multiple step process that ekes out most of the energy potential in our food. Figure 5 shows that multiple step process, going from left to right and producing energy at every step. You see just a tiny part of the entire mitochondrion. At several places in the process, acid is produced, labeled H+. At step II, a substance called CoQ is required. CoQ is more familiarly known as coenzyme Q10.
The Trials and Troubles of a Mitochondrion
Section titled “The Trials and Troubles of a Mitochondrion”In an aging brain, the number and quality of mitochondria decrease with increasing age. There are three primary reasons for this.
- Levels of CoQ10 decrease with age, and more so in people with neurodegenerative diseases.
- Free radicals are produced during energy production, and the first thing they have a chance to damage is the mitochondrion that produced them, just like the first part of a heating system to burn out is the furnace itself.
- Mitochondria mutate more easily than other cells. Here's why:
- Mitochondrial DNA is uniquely exposed to damage. Every other part of the cell is constructed using the DNA blueprint in the nucleus. The DNA in the cell nucleus is sequestered away from the cell's major metabolic processes. The cell nucleus has special systems that continually read and correct any errors in its DNA. So the DNA in your cell nuclei, which is all you have except for what is in the mitochondria, is well set up to last seventy or eighty years.
- Our poor old mitochondrion carries its own DNA. Its DNA is right there in the furnace, right where most of the free radicals are generated. Once a small part of the DNA blueprint changes (mutates), then everything that section of DNA encodes for ceases to work well, if it works at all. (Occasionally a mutation can be to the good, but that is the exception, not the rule.) The mitochondrion has no DNA repair mechanisms. So, the older we become, the more mutations appear in the DNA of our mitochondria.
- An interesting side-note is that our mitochondria are inherited entirely from our mothers. They are present in the egg; sperm carry no mitochondria into the egg. They reproduce on their own with the DNA they carry within themselves. This is why mitochondria are uniquely susceptible to degeneration as we age.

Figure 6: A happy mitochondria.
A real cell can have hundreds of mitochondria.

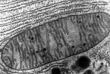
Figure 7: Mitochondrion inside a Nerve Cell, Trying Desperately To Survive
Figure 7 shows one inside a nerve cell in the cerebellum, the section of the brain where we operate our muscles and think about motion. The mitochondrion (singular of mitochondria) is lying sideways in this photo, about an inch to the right of the red arrow. The interior structure seems to be dissolving due to free radical damage.
Summary -- and Beyond
Section titled “Summary -- and Beyond”Each tiny dendrite and terminal is composed of a complex and delicate membrane, so a neuron has much more surface area than any other cell. The total area of all the cell membranes of the neurons in our brain is equal to about four soccer fields. But they're not laid out like a soccer field – they're more like steel wool. If you have an anvil and some steel wool on the back porch, which is going to rust away first? Similarly, the fine fibers of our neurons are going to be oxidized and destroyed faster than other, more compact, cells.
That neuron depends on the function of several million pumps in its membrane to maintain its activity and health. Those pumps are powered by mitochondria that can convert fat and carbohydrates into electrical signals but produce damaging free radicals as a byproduct.
We have complex internal systems of antioxidants to protect us from free radicals. Lucky us! We have more than most other creatures, which is why we live relatively long lives. Even so, our mitochondria are a particularly vulnerable part of our system, and when they degenerate, our nerve tissue degenerates. Look again at figure 2 to see what that looks like.
We'll explain more in later newsletters how these mitochondria fail with stress and age and how this failure contributes to common neurodegenerative diseases such as Alzheimer's dementia, Parkinson's disease, amyotrophic lateral sclerosis and Huntington's chorea.
You will find out why some of us are more prone to excessive damage in our brains than others.
We'll explain how vascular disease contributes to dementia and how that can be slowed.
You will learn in graphic detail how junk food contributes to degeneration of the brain. You'll learn another benefit of exercise.
You will learn about those rarer forms of dementia that we can reverse if discovered early. Unfortunately, most dementia is not reversible. If you want to prevent it, this series will help you learn.
Many of these topics are going to be more memorable with an understanding of how the brain works. These expository newsletters will also help you separate hype from fact as you read the news.
Stay tuned!
CJK May 24, 2006